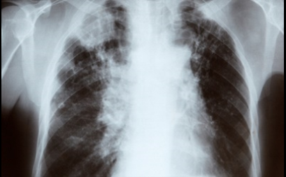
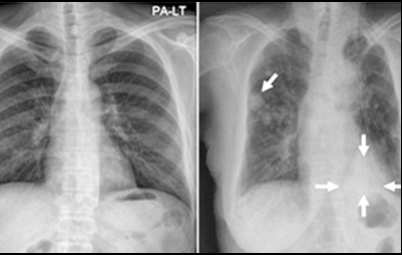
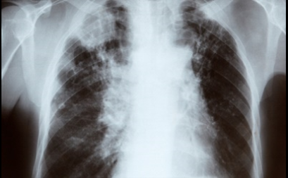
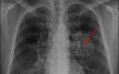
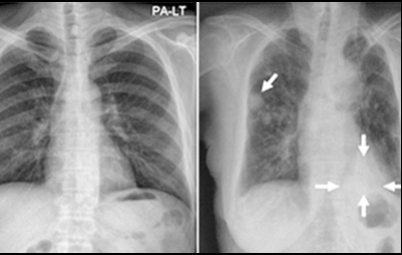
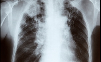
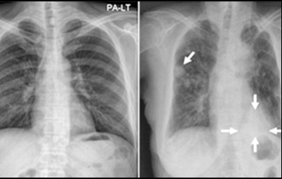
이번 기사에서는 폐암 초기 증상에 대해 자세히 정리해 알려 드리겠습니다 . 폐암은 국내암 사망률 1 위로, 과거에는 흡연이 폐암의 주된 원인 이었지만 , 현재는 비흡연 폐암 환자도 대폭 증가했습니다 . 폐암은 의학 기술로 발달하여 생존율이 높아지고 있습니다 . 폐암의 초기 증상은 무엇인가를 알아보겠습니다.
폐암의 초기 증상
1. 폐암의 초기 증상 - 흉통
흉부을 통해서 통증이 느껴지는 증상도 흔한 증상 중 하나라고 합니다만 , 폐의 단부에 종양이 생기면 이것이 흉막 그리고 흉벽을 침범 하게 됩니다 . 이로 인해 날카로운 통증이 느껴지는 것으로 알려져 있으며 기침에 가슴의 통증이 나타난다면 의심을 해볼 만합니다. 흉부 통증의 경우 암이 더 진행하게 된다면 더 무거운 통증의 느낌으로 발생한다고 합니다 .
2. 폐암의 초기 증상 - 구토와 두통
폐암의 경우에 뇌로 전이하는 경우가 매우 많다고 합니다 . 암세포가 뇌의 신경을 자극 함에 따라 이상 증상이 나타나게 됩니다만, 대표적증상으로 구토와 두통을 둘 수 있습니다 . 뇌 손상과 함께 머리 전체 그리고 는 부분 통증이 발생하여 빈번한 구토 증상이 반복 됩니다 .
3. 폐암 초기 증상 - 잔기침
평소 보다 잔기침이 많아지면 위험하다고 합니다 . 폐에 문제가 생겼다는 신호 중 하나 라고 합니다 . 그리고 폐암은 초기 발견이 어렵다고 하므로 , 보다 세심한 관찰이 필요한 것 같습니다 .




4. 폐암 초기 증상 - 면역력 저하
면역체계는 우리 몸을 감염 등으로부터 보호하는 역할을 합니다 . 그러나 우리는 항상 감염의 위험에 처해 있습니다 . 특히 면역력이 저하 된다면 몸을 약화시키고 감염 가능성을 높일 수 있습니다 . 폐암도 마찬가지로 면역력이 저하한다면 폐렴, 기관지염 등의 폐 감염이 나타날 확률 이 높습니다 .
5. 폐암의 초기 증상 - 만성 피로
폐암의 초기 증상으로 피로가 해소되지 않고 만성 피로를 느끼게 됩니다 . 보통 간이 건강하지 않으면 피로의 해소가 되지 않는다고 생각합니다만, 폐에 발생한 암세포가 주변으로 전이해, 다른 장기의 기능을 제한하기 때문일 지도 모릅니다 . 따라서 단순 피로라고 생각하고 영양제만 섭취하지 않고 병원에 가 보는 것이 좋은 것 같습니다 .



6. 폐암 초기 증상 - 혈담
혈전은 반드시 폐암이 아니어도 나타날 수 있습니다 . 혈담이란 기침 후에 피가 나오 거나 가래에 피가 섞여 있는 것을 혈담 이라고 합니다 . 그러나, 의심스러운 폐암의 초기 증상의 혈담은, 선홍색의 비교적 선명한 피가 나오는 것을 의심해 봐야 합니다 . 이것은 암세포 때문에 폐가 괴사하기 때문 입니다 . 이 경우 폐암 초기보다는 암세포가 확장되었다고 보는 것이 좋습니다 . 폐암 환자의 25% 가 혈담을 했다고 통계가 나온 적이 있습니다 .
7. 폐암의 초기 증상 - 뼈 통증
암세포는 뼈에도 영향을 미칩니다 . 특히 폐에 가까운 갈비뼈에 암이 퍼지는 경우 가 많습니다 . 따라서 갈비뼈 부분의 통증과 흉통을 호소하는 경우가 많습니다 . 암이 많이 퍼진 경우는 어깨와 상반신 전체을 통해서 통증을 호소 할 수도 있습니다 . 폐암으로 인한 통증 뿐만 아니라 뼈가 약해져 외부 충격이 없는데도 골절이 나타나거나 합병증이 발생할 수 있습니다 .



8. 폐암의 초기 증상 - 복부 통증
고칼슘혈증이라고 그렇지만 , 폐암에 걸리면 칼슘치가 높아진다고 합니다 . 그 때문에 복통이 유발된다고 말해 배가 많이 아프다고 합니다 . 배가 아파서 식욕도 떨어지고 소화도 잘 안된다고 합니다 .
9. 폐암의 초기 증상 - 체중 감소
특히 이유없이 체중이 감소하는 것은 대부분의 암의 일반적인 증상 입니다 . 폐암의 증상에도 갑작스런 체중 감소가 포함되어 있습니다 . 한 연구에 따르면 성인암 그리고 는 소화관암 환자를 대상으로 확인 한다면 참가자의 34.1% 정도 가 암 진단을 받았을 때 체중 감소를 경험했다고 한다 . 암 치료 전의 체중 감소는 생존 확률을 저하시킬 가능성이 있습니다 . 암에 의해 식욕이 손실 되거나 , 면역 환경이 저하되거나, 호르몬 , 대사 등의 변화가 원인이 될 수 있습니다 . 최근 식사량을 줄이거나 식사 관리를 하지 않은데 평소 체중의 5% 이상의 체중 감소가 있는 경우는 검진을 해보는 것이 좋습니다 .



10. 폐암 초기 증상 - 상대 정맥 증후군
상대정맥 주위에 폐암이 생겨 상대정맥을 압박할 때 생기는 증상을 말합니다 . 혈액 순환 장애가 생겨 머리와 팔이 심하게 부어 오르고 호흡 곤란 , 가슴 정맥 돌출 등의 증상이 발생할 수 있습니다 .
11. 폐암의 초기 증상 - 음성 변화
암이 기관지와 성대를 향해 퍼져 신경을 손상 시킬 수 있습니다 . 그 결과, 목소리가 바뀌거나 성대가 마비되는 증상이 나타납니다 . 평소 와 달리 쉬는 목소리가 나옵니다 만, 많은 분들이 감기로 생각해 힘들지 않은 것같이 보이는 경우가 많습니다 . 그러나 신체나 고열 등이 없는 상태을 통해서 목소리가 계속 변하고 있다면 , 질병을 의심해 보십시오 .



12. 폐암의 초기 증상 - 팔다리가 붓기
폐와 손 , 다리가 어떤 관련인지 하고 싶을지도 모릅니다만, 의외로 많은 폐암 환자로부터 나타난 초기 증상 입니다 . 암 조직에 의해 손끝이나 발끝에 더 많은 혈액이 공급되어 부어 오른다 고 합니다 .
폐암 예하는방법
흡연을 하지 않아도 폐암을 취하는 경우가 있습니다만, 이러한 상황을 막기 위한 방법중의 하나, 우선 요리를 할 때는, 연기가 나는 음식을 할경우 실내에서 조리를 할때 환기를 하고 공기를 순환시키는것이 중요 합니다 . 그리고 조리 하는방법으로는 굽거나 튀기는 것보다 쪄서 조리하는 것이 좋습니다 . 그리고 구울 때 탄음식이 되지 않도록 조심해주세요 . 음식이 타면 발생하는 유해 물질이 있지만, 그것을 흡입한다면 폐암의 원인이 될 수 있습니다 .
폐암의 초기 증상과 예방하는방법에 대한 내용을 알려 드렸습니다. 참고로 해 주었으면합니다. 감사합니다 .
댓글